Adolescent din Vaslui, lăsat fără dinți de tatăl iubitei sale

Un băiat în vârstă de 17 ani din satul Drăxeni, comuna Rebricea, județul Vaslui a luat o bătaie soră cu moartea din partea celui pe care l-ar fi vrut de socru
Agresorul este tatăl fetei cu care minorul se iubeste, dar se pare că în băiat a dat și mama copilei. Neînțelegerile dintre cei doi durează de câțiva ani, perioadă pe care Florin a trăit-o sub o amenințare continuă, că se iubea cu fiica atacatorului.
„S-au mai întâlnit prin sat, tatăl fetei i-a spus de mai multe ori că-l omoară, dar ce a fost duminică aici, eu n-am mai văzut niciodată. Ambii părinti ai fetei au sărit pe băiat si l-au bătut de l-au lăsat inconstient. L-au lovit cu o bâtă în cap, peste picioare, apoi l-au băgat într-un pârău, probabil să-l înece acolo. Noroc că au venit rudele lui si au oprit bătaia, că altfel băiatul ăsta nu mai era acum printre noi”, a declarat un martor pentru colegii de la ziarul vasluian Vremea Nouă.
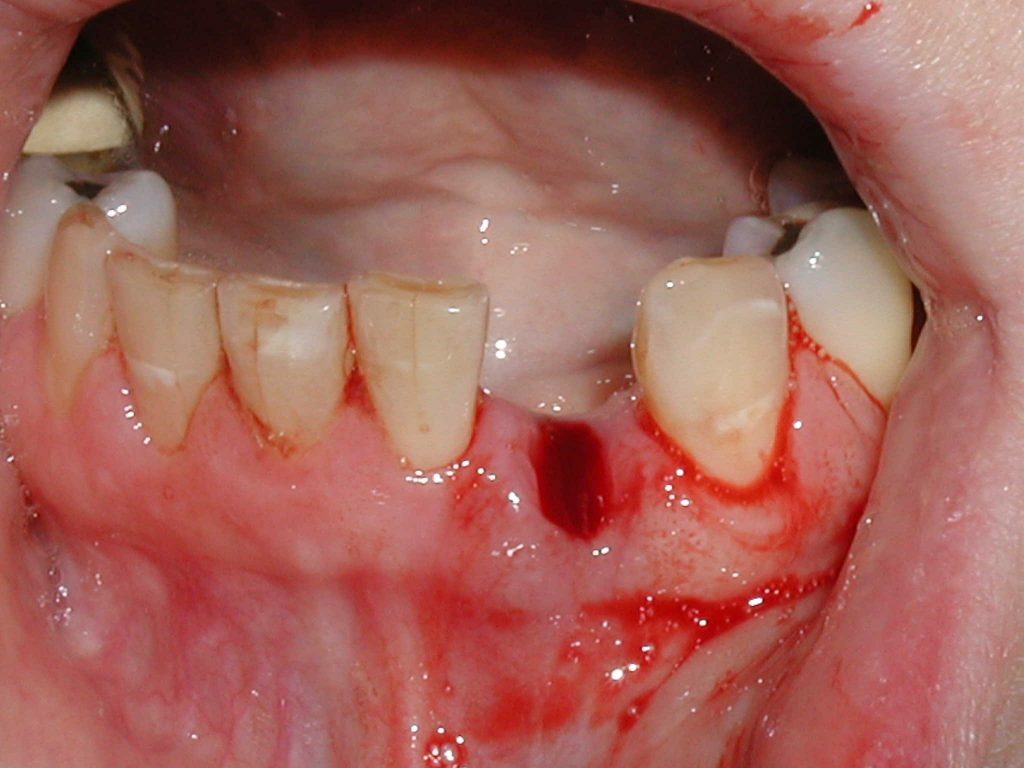
Imediat după bătaie, victima a fost preluată de o ambulantă si transportată la Spitalul Judetean de Urgentă Vaslui, însă din cauza rănilor suferite, medicii au decis transferul ei la o unitate sanitară din Iasi. Politistii au intrat pe fir si i-au deschis bătăușului dosar penal pentru loviri sau alte violente.
Culmea, în ciuda bătăii date, tatăl fetei nu a fost reținut de polițiștii din sat. Părinții băiatului spun că acesta este protejat pentru că se trage dintr-o familie bună.